DENTISTA 24h JOÃO PESSOA E INTERMARES - Cabedelo

🦷 Dentista 24h Proximo ao BESSA em Intermares – Atendimento de Urgência e Emergência

Dor de dente, dente quebrado ou abscesso? Ligue agora e seja atendido em minutos

Tá com dor de dente agora? Aqui você não precisa esperar, Atendimento Imediato 24 Horas!

Dentista Intermares Cabedelo

Nossas Especialidades

//
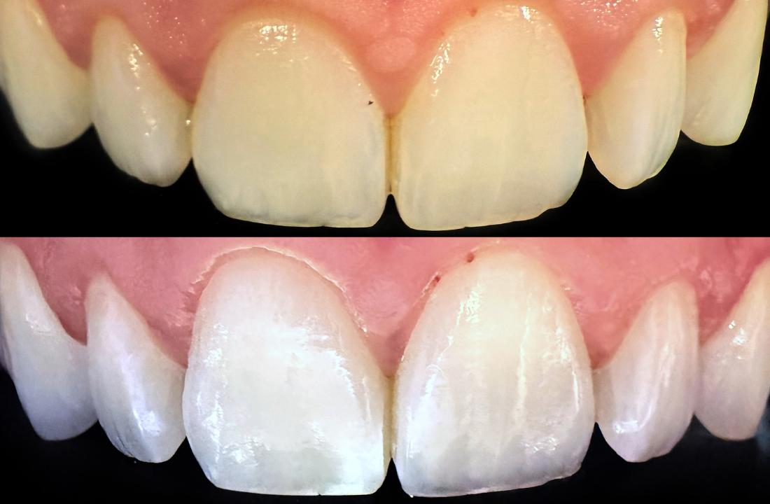
Dentista
//

Dra. Cinthya Correia

Sou a Dra. Cinthya Correia, cirurgiã-dentista apaixonada pela arte e ciência da Odontologia. Desde o início da minha trajetória, percebi que meu propósito era cuidar de sorrisos e promover a saúde bucal com atenção a cada detalhe. Por isso, me dediquei à especialização em cirurgia oral, área que me fascina pela complexidade dos procedimentos e pela oportunidade de oferecer soluções eficazes aos pacientes.

Com o tempo, descobri na harmonização orofacial uma extensão natural do meu trabalho, unindo a precisão técnica ao olhar estético para realçar a beleza de cada pessoa. Acredito que cada paciente é único, e essa singularidade exige um atendimento humanizado e personalizado, respeitando não apenas a saúde bucal, mas também a autoestima e o bem-estar.

Meu compromisso é buscar constantemente inovações e aperfeiçoamentos, garantindo que cada tratamento seja planejado com segurança, embasamento científico e uma visão integrada de saúde e beleza. Quero que meus pacientes sintam confiança e acolhimento em todas as etapas, pois entendo que cuidar de um sorriso significa também cuidar de sonhos, conquistas e momentos especiais.

É essa paixão pela Odontologia que me motiva diariamente, guiando meu trabalho com responsabilidade, empatia e dedicação para transformar vidas por meio de sorrisos saudáveis e harmoniosos.

Temos Harmonização Orofacial

Na clínica da Dra. Cinthya Correia, cada procedimento de Harmonização Orofacial é cuidadosamente planejado para valorizar sua beleza natural, aumentar sua confiança e proporcionar resultados harmônicos. Confira como cada tratamento pode fazer a diferença:

  • Redução de rugas: Ideal para suavizar rugas de expressão na testa, ao redor dos olhos e entre as sobrancelhas, devolvendo uma aparência mais jovem e descansada.
  • Preenchimentos: Perfeitos para repor volume em áreas como lábios, maçãs do rosto e sulcos faciais, garantindo contornos mais definidos e equilibrados.
  • Fios de Sustentação: Criam um efeito lifting instantâneo, amenizando a flacidez e conferindo firmeza ao rosto, sem a necessidade de procedimentos invasivos.
  • Bioestimuladores de Colágeno: Ativam gradualmente a produção de colágeno, melhorando a textura, a firmeza da pele e prolongando o resultado de outros tratamentos.
  • Microagulhamento: Estimula a renovação celular e a produção de colágeno, ajudando a minimizar cicatrizes, linhas finas e manchas, para uma pele mais uniforme e radiante.
  • Peeling: Remove camadas superficiais, renovando a pele e deixando-a mais macia, luminosa e uniforme, com redução de manchas e linhas finas.
  • Lipo de Papada: Reduz a gordura localizada abaixo do queixo, redefinindo o contorno facial e realçando a harmonia do rosto.

Pronto para transformar seu sorriso e realçar a sua beleza natural?

Agende agora mesmo a sua consulta com a Dra. Cinthya Correia. Aqui, cada paciente recebe atenção personalizada, desde o primeiro contato até o momento de celebrar os resultados

//
Nossa Localização
//

Seu sorriso é a nossa prioridade: oferecemos atenção especializada, cuidado humanizado e conforto a qualquer hora, para que você se sinta seguro e bem cuidado do começo ao fim.

Contato